审美是一件很私人的事情,不同人眼里有着不同的美的标准。有人喜欢双眼皮的灵动,有人喜欢单眼皮的清冷,有人喜欢圆圆的小脸,也有人喜欢个性气质的方脸。但唯独,在牙齿的审美上,基本不分种族和国界都以洁白整齐为美。热播剧楚乔传中,燕洵世子的那一口大白牙就是明晃晃的圈粉利器。

站在美牙的反面,氟斑牙就是一种典型的破坏牙齿美感的症状。试想一口失去光泽,呈现黄、黑、褐色,甚至窝状缺损斑布的牙齿,又如何绽放灿烂的笑容呢?
氟斑牙的症状:
氟斑牙主要是由于从饮用水、食物、药物等中的氟化物摄入量过多引起的牙齿色泽的变化。在我国,很多地区都有这种症状的萌发和扩散。临床上氟斑牙常按其轻、中、重度而分为白垩型(轻度)、变色型(中度)和缺损型(重度)三种类型:

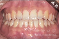
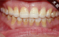
氟斑牙症状图
(1)白垩型(轻度) 牙面失去正常光泽,出现不透明斑块;
(2)变色型(中度) 牙面出现黄色、黄褐或棕褐色;
(3)缺损型(重度) 除上述改变以外,牙面还出现浅窝或坑凹状缺损,或因磨损使牙失去正常外形。
患有氟斑牙很容易被认为不注重个人卫生,且极度损害形象,一颦一笑,一举一动都会受其影响,导致在社交、工作、婚恋等生活的方方面面平添阻碍和烦恼。但氟斑牙并非不不可治愈,只要修复得当,恢复一口洁白好牙其实并不难。
氟斑牙该怎么治愈?
▶ 瓷玉雕TM冷光美白
采用数码口内空间设计,准确定制牙齿所需的色阶,且实现术后效果可预知。通过在牙齿上涂抹美白凝胶,在专业进口美白仪的照射下,进行舒适舒适的美白方式。不伤牙龈和牙釉质,限度的还原牙齿洁白,操作简单,美白。


PS:适用于轻度氟斑牙患者,以及轻度四环素牙、黄牙、咖啡牙、菌斑沉积等症状
▶ 瓷玉雕TM牙贴面修复
在牙齿表面贴上一层薄薄的接近于牙面形态和色泽的全瓷牙贴面,覆盖掉掉原有色泽不佳的牙齿,还可以修复边缘的形态,让牙齿整体更和谐美观。使用专用的粘接剂粘接固定,微创不伤牙,自然贴合,与真牙无异。



PS:适用于轻中度氟斑牙,轻中度四环素牙、黄牙等
▶ 瓷玉雕TM仿生牙冠修复
通过预备变色程度较严重、且形状缺损破坏也较大的牙齿,磨除一些牙体组织,再在牙齿表面套上根据你的肤色、气质等因素量齿定做的全瓷牙冠。全方位美牙,边缘密合没有黑线,坚固耐用,仿真而美观。

PS:适用于重度氟斑牙、重度四环素牙、黄牙、牙齿缺损等
德伦口腔7周年庆盛典:
1.瓷玉雕TM冷光美白58,庆典月88元特价购
2.瓷玉雕TM牙贴面、瓷玉雕仿生牙冠买2送1
3.瓷玉雕TM全部美牙项目,10抵1000
预购时间:即日起——7月31日
特色项目
牙齿问题在线咨询
020-8378 2905
专家推荐
网上自助挂号
患者
须知
贯彻国家卫生部新医改政策,严格落实解决挂号难、看病难问题,开展网络自助预约挂号服务。

口腔连锁品牌