他,是中国自锁矫治技术鼻祖
他,是原省口腔正畸科主任
他,是中华口腔医学会正畸专业委员会委员
他,是广东省口腔医学会正畸专业委员会副主任委员
他,是广东省医学会事故技术鉴定专家库专家
他,是WFO(世界正畸联盟协会)会员
他出版过书籍:《SPEED矫治技术》
他是谁?
他,是缪耀强 主任医师,南中国正畸学科带头人
他,是德伦口腔正畸中心技术院长
他擅长:SPEED自锁矫治、下颌磨牙水平阻生矫治、功能性矫治、固定矫治各种错牙合畸形
临床经验:超过30年
特诊时间:8月23日
地点:德伦口腔海珠宝业精品院
地址:广州市海珠区宝业路5号新一城广场北侧首层(国美电器旁)
专注科研醉心学术 勤于实践
缪耀强从事口腔行业已有33年,在正畸方面拥有成熟的技术及理念,在学术上更有自己独到的见解。他认为,正畸这一技术并非一成不变,而是需要不断的更新进步,每一位正畸医生在继承前辈经验的同时,要吸取新型的正畸技术与理念,才能用更好地造福人民。
2015年,缪耀强加盟德伦口腔,出任德伦口腔正畸中心技术院长,成为口腔界的重大新闻。
缪耀强可以称得上是中国以前一批从事口腔行业的工作者。他多次赴美国、法国、台湾、香港、日本等地参加国际正畸研讨会。
他不仅掌握医疗技术,具有解决疑难重症的能力,且多次主持开展新技术新业务:例如自锁托槽矫治在国内早批临床应用就是由他率先开展的。

缪耀强表示,自锁矫治技术是一种高难度的齿科技术,它是真正能解决市民困扰,为人民服务的齿科技术。

作为第一作者,缪耀强在国内外专业杂志发表论文30余篇,且被全球口腔正畸学界著名杂志J.Clin.Orthod发表。其主编的《SPEED矫治技术》,被认为是口腔正畸的教科书。

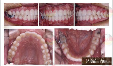
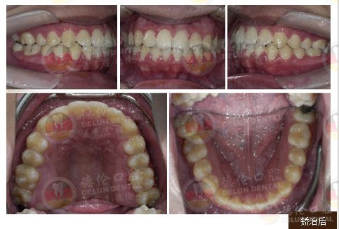
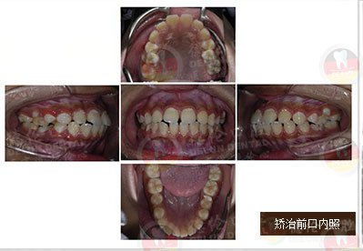
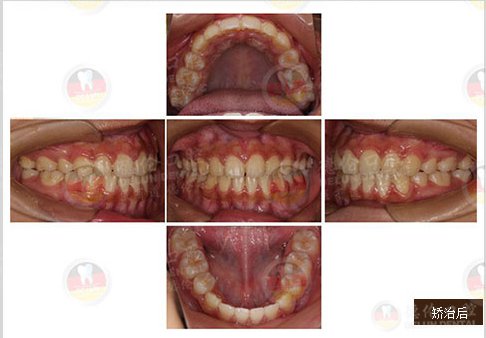
缪耀强案例——经典正畸案例展



男 17岁
牙齿症状:下颌右侧第二、第三磨牙水平阻生,下颌左侧第三磨牙水平阻生
矫治方法:下颌拔除两颗第三磨牙(智慧齿)
发表于全球口腔正畸学界著名杂志J.Clin.Orthod



女 13岁
牙齿症状:上下前牙前突、唇倾,上下牙弓散在间隙
矫治方法:SPEED矫治器结合种植钉、整体内收上下牙弓、改善双牙弓前突以及凸面型侧貌
特诊时间:8月23日
地点:德伦口腔海珠宝业精品院
地址:广州市海珠区宝业路5号新一城广场北侧首层(国美电器旁)
特色项目
牙齿问题在线咨询
020-8378 2905
专家推荐
网上自助挂号
患者
须知
贯彻国家卫生部新医改政策,严格落实解决挂号难、看病难问题,开展网络自助预约挂号服务。

口腔连锁品牌