2017年8月27日,一场数字化种植牙手术直播活动在德伦口腔23楼隆重举行,广州媒体《G4出动》全程录播,与现场近100名市民直击缺牙重生的过程,将种牙手术过程搬到屏幕前,揭开种植牙的神秘面纱,让市民面对面深入了解种植牙的过程。
种植牙直播现场座无虚席,甚至有不少市民早上就已来到现场等候
为更方便市民了解自己牙齿状况,德伦口腔贴心地为到场市民提供检查口腔、拍牙片的贴心服务。
种植牙患者缺牙烦恼分享 引发缺牙市民共鸣
手术直播患者张阿姨术前向在场市民分享缺牙困扰,渴望种牙后能享受好口福
“只有缺牙的人才知道不能咀嚼食物的痛苦,肉类、菜类都只能做成泥状,吃个苹果也要打成果汁,去茶楼喝茶爱点的就是煮面条,想着辛辛苦苦一辈子,到老却不能享‘口福’……”在活动开始时,本次直播案例主角张阿姨向大家讲述了自己缺牙的经历,唤起了在场缺牙市民的共鸣。
今年54岁的张阿姨,右上后牙做烤瓷冠修复十余年,半年前烤瓷冠,随后却出现松动情况,影响进食,摘掉烤瓷冠后希望通过种植牙恢复咀嚼功能。
张阿姨在接受《G4出动》媒体采访的时候告诉记者:“之前做过烤瓷牙,但是咬合不理想,还是吃不了东西,时间久了,还出现了松动,之后不得不摘冠。如果缺牙后就采用种植牙方法,肯定能少受罪!”
手术主刀医生郝志飞与张阿姨手术向现场观众进行术前展示
20分钟缺牙重生
引发现场市民一片哗然
手术准备中,张阿姨有一些紧张,这是她第一次做“手术”
消毒、麻醉、微创切口、牙根植入……10分钟左右,第一颗新牙就“长”出来了
3D打印种植导板技术,准确种牙的“鹰眼”,
该技术提高手术准确度、降低手术创伤出血,缩短手术时间
正在手术的每一步骤都向观众同步解说,并解答观众的疑问
“两颗种植牙才用了20分钟,种完牙后没有不适感觉,当天就能吃东西,太神奇了!”现场引起了在观众的连连惊叹声。手术直播主角张阿姨下了手术台就立马回到直播现场,与现场观众分享种牙的感受,给现场想种牙又怕种牙的观众们吃了一颗“定心丸”,消除了大家的恐惧。

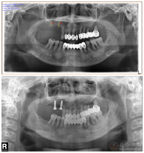
张阿姨手术前后对比照,于左上方种植2颗
褪去了术前担忧的表情,张阿姨坦言种植牙手术一点都不可怕,舒适且舒适,手术时间短,完全出乎她的意料
张阿姨称赞郝志飞医生的种植技术非常纯熟,驾轻就熟的种植技艺给张阿姨感受到满满的可靠感
种植牙的科技新苗
3D打印种植导板 准确种牙的“鹰眼”
当今的口腔医疗非常强调准确医疗,而数字化医疗是准确医疗的基础,德伦口腔数字化3D种植导板是实现数字化准确种牙所设计和制造的手术辅助工具,是医生手术的“鹰眼”和准确“导航仪”。
在种植导板的准确“导航”下,将种植体准确植入到合适位置,大大提高手术准确度、降低手术创伤出血,缩短手术时间,减轻患者痛苦,同时获得合适种植效果。

导板“导航”下手术更准确,种植体植入方向、位置、角度、深浅度等一目了然
本次手术直播采用的正是这种准确种牙的“科技新苗”,大大缩短了种植的时间,还能确保种植体可靠植入并避开关键性神经和血管
德伦口腔创建了一站式数字化技术中心,实现了将临床影像采集、口内或模型扫描取像、团队专家会诊、治疗实施、数据传输、计算机辅助设计(CAD)、义齿数字化加工(CAM)、个性化美学义齿精益制作、技师的临床配合、人性化服务等环节有机整合在一起。
德伦口腔荣升广州市医保定点单位!
看牙齿刷医保,到德伦口腔!
喜讯!德伦口腔成为医保定点单位,同步公立医院医保统筹!
2017年8月,德伦口腔正式纳入广州市医保定点单位!同步公立医院医保统筹,共同为广州的医疗卫生事业锦上添花!
这也意味着德伦口腔将严格执行广州市物价局公立医院收费标准,不会让老百姓觉得民营机构如同万丈深渊,深不见底;并接受广州市物价局、卫生局以及大众的严格监督,所有收费比其他以营利为主的医疗机构更要规范,有力避免“消费陷阱”,为患者提供更多的利益保障!
医护人员纷纷为此而点赞,日后看牙更加方便
也许,十年前,我们对种植牙一无所知,但随着科技的发展,以及人们对口腔保健意识的增强,但十年后的今天,种植牙已经走进千家万户,成为牙缺失患者修复的选择。
2017年9月,德伦口腔响应国家爱牙日号召,联合广州本地媒体《G4出动》共同举办920全国爱牙节暨广州第二届万人缺牙普查公益行,筹备了一支由百名齿科专家组成的口腔健康服务队伍,其中包括牙缺失普查专家服务队、牙周病普查专家服务队、烤瓷牙失败救助专家服务队、色素牙普查专家服务队、牙缺损普查专家服务队、牙齿紊乱普查专家服务队、牙齿健康义诊专家服务队、口腔健康知识宣教专家服务队共八大专家服务队,深入广州各大家社区、街道,覆盖“千户百区”,全面推进口腔健康普查公益行动,把守市民口腔健康。
普查期间特别推出1折起种牙、98元洗牙、隐形矫正设计、瓷玉雕美牙1折起以及十大口腔基础护理项目起购等公益援助项目,详情咨询020—83782888。
特色项目
牙齿问题在线咨询
020-8378 2905
专家推荐
网上自助挂号
患者
须知
贯彻国家卫生部新医改政策,严格落实解决挂号难、看病难问题,开展网络自助预约挂号服务。

口腔连锁品牌