种牙过程痛不痛?要不要打麻药?价格不同的种植体有什么不同?哪种种植体适合我?种的牙真的可以用很久吗……关于种植牙还有很多问题,得不到专业的解答,怎么办?
12月27日,当代口腔领域前沿种植技术的推广者、中山大学口腔医学硕士——刘艳医师将在德伦口腔车陂精品院给街坊们带来一场种植牙的科普大讲堂,特别是目前种植领域的前沿技术的数字化种植,它有哪些特点?给患者带来什么好处等等等刘艳医师将会为到场街坊进行详细讲解,对种植牙、对数字化种植存在任何疑问,都可以报名到现场听讲、互动,还有机会领取欧洲10日游。
报名时间:即日起——12月27日
报名方式:点击报名 或者前往车陂院报名
德伦口腔车陂精品院:广州市天河区中山大道中2号粤保中心广场1—2楼
刘艳 主治医师
临床经验:15年
德伦口腔车陂院种植医师
中山大学口腔医学硕士
数字化3D导板首席设计大师
德国ICX认证医师及高级讲师
资深美学修复、全科医师
擅长项目:
数字化导板种植、各类型缺牙种植修复、
ALL-ON-4即刻种植、牙体牙髓治疗、牙齿美学修复
刘艳医师为广东著名主持人马志海先生的种植牙手术设计数字化3D导板
案例展示:
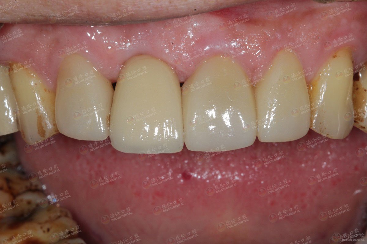
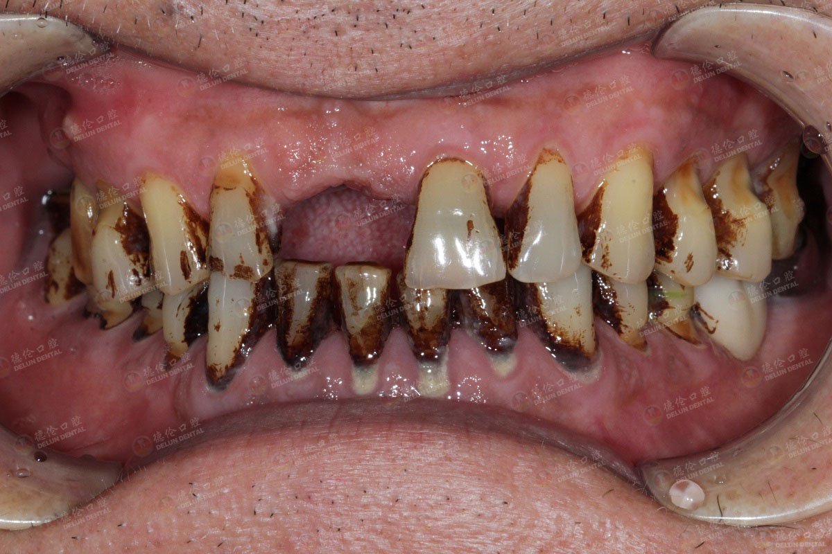
患者:刘老伯,70岁
缺牙情况:右上颌门牙缺失多年,色素牙
治疗方式:数字化种植+全瓷贴面
欧美进口种植体1折起
(仅限50名)
适应症:牙齿脱落、牙齿松动、活动假牙替换、烤瓷牙失败修复等
德伦口腔种植体全部是从欧美进口的种植体,每一颗种植体都具有独立的身份编号可查真伪,此外还提供质保,大大提升治疗的可靠性。
另外还有,预存500=500,一年这一次!种牙回馈高达10……
还有机会获欧洲豪华10日游!
特色项目
牙齿问题在线咨询
020-8378 2905
专家推荐
网上自助挂号
患者
须知
贯彻国家卫生部新医改政策,严格落实解决挂号难、看病难问题,开展网络自助预约挂号服务。

口腔连锁品牌