
临床经验:17年
擅长项目:数字化导板种植、微创种植、前牙美学种植、即刻种植、复杂根管的口腔治疗等
·Bioconcept种植体全国讲师
·被羊城晚报评为羊城“德艺双馨”的明星牙医
【出诊时间】
1月31日
2月2、4日
程武主任与国内著名口腔大咖共同启动第六届种植大师论坛
程主任不仅临床经验丰富,平时经常参加各种学术交流会,对种植牙领域的不断探索,积累了丰富的临床经验,并以其过硬的医术和良好的医德受到患者的称赞。

从事临床17年,程主任接诊过的牙齿案例无数,他行医谨慎,临床操作技术娴熟,不仅深受患者喜爱,而且凭着过硬的技术和冷静的头脑,曾成功进行过多次种植手术直播。
【出诊时间】
1月31日
2月2、4日

临床经验:11年
擅长:无牙颌疑难种植、数字化导板种植、ALL-ON-4即刻修复
·【首届中国民营口腔种植病例点评】季军
·中华口腔医学会会员
·广东省种植专委会会员
·Sirona西诺德CAD/CAM修复系统高级培训师
【出诊时间】
1月29日
2月1、3日
2016年,崔主任受邀参加德国科隆大学举办的《前沿数字化种植技术的临床应用》大会,与国际种植精英汇聚一堂,同台竞技,频频碰撞出激烈的学术火花。

崔主任案例展示
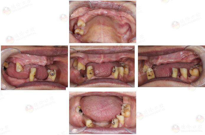
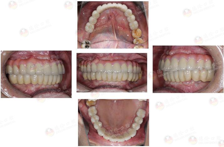
许女士 65岁
牙齿症状:全口多牙缺失十余年。
10余年前因牙周炎致全口多牙拔除,之后利用活动假牙修复,现在出现活动假牙固位差、牙龈游走性压痛等情况,希望做种植牙修复。
治疗方式:倾斜植体避开左侧上颌窦、整体支架修复、数字化3D导板种植


【出诊时间】
1月29日
2月1、3日
即日起,预约两位种植科主任看牙,可获得加1就兑换1颗欧美进口种植牙(2颗起用)的公益援助,到院还有10000个福利红包领取。
特色项目
牙齿问题在线咨询
020-8378 2905
专家推荐
网上自助挂号
患者
须知
贯彻国家卫生部新医改政策,严格落实解决挂号难、看病难问题,开展网络自助预约挂号服务。

口腔连锁品牌