随着红人美牙节的上线,我们的“体验者们”陆续用文字方式传达了美牙历程。今天给大家展示的是网络红人曲奇饼小姐姐的美牙体验。

网络红人曲奇美牙体验
独白:
唇红齿白就是我
澳大利亚POLA牙齿美白
医生说,做牙齿美白前要先给牙齿洗澡澡,俗称洗牙。
洗牙过程中,护士小姐姐会拿着超声波洗牙器,清洁掉牙齿表面的牙结石和牙菌斑,手法超级温柔,基本无不适感,甚至有点舒服,哈哈哈。护士建议成年人一年要洗一次牙,为了牙齿健康,我会坚持哒!
很多人以为洗牙就能使牙齿变白,但其实,牙齿美白是另一个独立的操作。德伦口腔修复科的余若鸣主任就是牙齿美白的专家,很多明星、名人、模特都找他美牙,我也是慕名而来,做的是澳大利亚进口POLA美白,保持时间久,也不敏感。
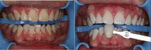
在牙齿美白前,先帮我拍了术前照,用于牙齿美白前后对比。然后会给我涂一层保护牙龈的胶,接着就是一层层地涂牙齿美白剂。高水分含量的美白剂,不需要传统的光照辅助,医生说这样做出来的美白效果更健康、牙齿更通透。

牙齿美白一般需要2~3个疗程,我还没做完呢,先分享一波余主任其他顾客的美白图,期待我做完后牙齿更blingbling亮白!

我知道,有许多小伙伴因为爱美
在美容院做了一些其他的美牙项目
做完看起来有“厚重感”“太过于白”
POLA美白需要做几个疗程
循序渐进,慢慢变白
说到这里,你们一定很好奇什么是POLA美白。POLA臻白亮齿是澳大利亚SDI公司亮齿技术,跟传统美白略有不同,色泽比传统美白更为自然真实,是通过药物、不同的剂量、强度来实现牙齿亮白。具有健康白、通透亮、刺激小等美牙效果。同时,还具有以下特点:

1 快捷快捷:POLA美白技术通过氧化剂过氧化氢中的小分子,分解清除导致牙齿表面变色的色素分子,在不改变牙齿结构的情况下,单次美白时间仅需40分钟左右就可以了。
2 防龋健齿:牙齿美白过程中,会有氟化剂保护牙齿,它起到封闭牙本质小管,防止治疗过程中对牙齿造成的伤害,并可以促使牙釉质新生,形成保护,有效减少牙齿敏感,因为氟是有一定防龋效果,所以牙齿美白以后抗龋能力会提升。
3 :在POLA美白加保护的原理下,氟化剂促使牙釉质新生,形成牙齿保护层,美白后的牙齿也能得到更有效的保护。美白后以后尽量避免吸烟、喝浓茶或吃颜色太深的食物,只要维护妥当,持续效果时间大概5年左右。

牙齿美白不是颜色越白越好,适合自己的才自然。牙齿美白分为4—8个VITA色阶,德伦口腔拥有专业牙齿美白专家,经过严格的对比,挑选和患者形象、气质为匹配的牙齿色阶,帮求美者重建洁白漂亮的牙齿。
POLA美白注重牙齿健康白,而不是“死白色”,适合自己的才是好的,不显突兀,恰到好处。

我是曲奇饼
我安利POLA美白
特色项目
牙齿问题在线咨询
020-8378 2905
专家推荐
网上自助挂号
患者
须知
贯彻国家卫生部新医改政策,严格落实解决挂号难、看病难问题,开展网络自助预约挂号服务。

口腔连锁品牌