“我不要看牙,我怕!”不少孩子在得知爸妈要带他们去看牙时,就开始以一哭二闹三耍赖的方式表达内心强烈的拒绝。
每一个孩子都是父母心头的宝贝,也有不少心软的家长对哭闹不停的小孩进行了妥协,把看牙一拖再拖,口腔问题进一步加重,等到终于把孩子带上了牙椅,却发现已不仅仅是“小修小补”的程度。

近日,德伦口腔儿童齿科收到一位家长的求助,称家中4岁的宝宝烂牙情况非常严重,想寻求一家可靠、的儿童口腔诊疗机构对其进行治疗修复。
为小朋友进行详细口腔检查后,德伦口腔儿童牙科刘阗主任发现,小患者多颗牙齿已达重度龋坏,若不及时进行治疗,只能拔除乳牙,更会扰乱乳恒牙替换的生理规律,引起恒牙萌出的秩序错乱,给孩子的生长发育带来不良影响。

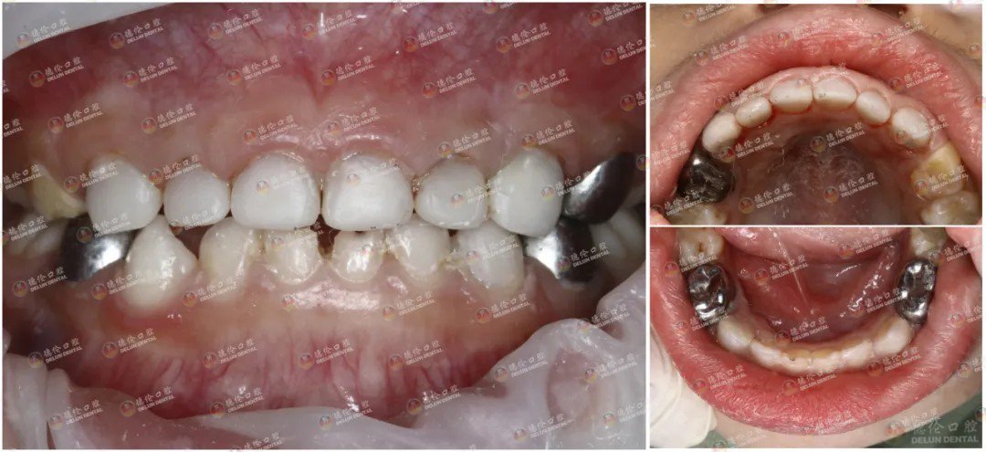
患者上颌门牙和乳磨牙等多颗牙齿发生严重龋坏
根据患者口内每一颗牙齿的龋坏程度不同,刘阗主任为其制定了相应的治疗方案:3颗乳牙树脂充填、7颗乳前牙透明冠修复、3颗预成冠修复、2颗乳磨牙显微根管治疗。

治疗后,患者重获一口好牙齿,健康成长
说起传统儿童牙科的诊间,许多人第一反应就是:吵。各种孩子呼喊、家长医生轮番骗哄,成了儿科治疗的经典特色。
孩子畏惧看牙,其实都是由于他们对口腔治疗疼痛的恐惧,同时,这种恐惧心里也会让治疗受到了一定程度的干扰。
如何让孩子愿意看牙、爱上看牙,是许多家长的难题。现在,德伦倡导的舒适化治疗理念,让这个难题变成了历史。

“尽量使口腔治疗过程舒适,是舒适化治疗的主要工作。”刘阗主任称。由于患者龋齿数量多,且年龄较小(4岁),在本次治疗中使用了舒眠治疗,通过吸入麻醉药物,在睡眠中成功配合完成治疗。
“治个烂牙要用全麻?”、“麻醉药物对孩子有没有影响?”这是家长听说建议做全麻治疗牙病时常问的问题。
“舒适口腔治疗在国外经过了150多年的发展,牙科全麻技术1951年被第一次应用于儿童龋齿和拔牙治疗。”刘阗主任称。有研究表明,在婴幼儿中,单次、短时间地暴露于全身麻醉和神经药物,对婴幼儿的行为和学习不会有负面影响,而手术中经历的疼痛和恐惧却可能给孩子带来心理阴影。
保障全麻下治疗儿童牙科疾病的可靠,需要口腔医师与麻醉医师协作,医生必须技术熟练,高质并快捷完成治疗,对麻醉师的要求也很高。
目前,能做这项治疗的公立医院不多,而有条件进行做全麻牙科治疗的私立医疗机构就更少了,像德伦这样拥有专业的舒适儿童齿科团队和麻醉师,及国际舒眠治疗设备,能够深度开展舒适化治疗的诊所是非常少的。

儿童是易感人群,身体免疫力较低。口腔诊疗操作中,患者唾液、血液、和分泌物通过口腔动力装置产生大量飞沫,大范围播散,存在医-患、患-患间疾病传播的高风险,特别是目前疫情下的特殊时期,阻断这种医源性交叉感染风险,保障医患健康尤为重要。
德伦口腔孩子看牙可靠,橡皮障降低孩子看牙感染率,减少治疗中手口接触和唾液干扰,防止孩子误吞误吸,并实现孩子在治疗过程中的张口负担压力,提高治疗舒适感和可靠性。

通俗地说,橡皮障就像一座水坝,即是用一张能把”水”隔开的橡皮布,把孩子的牙齿隔离出来,使口腔中的唾液不会流入牙医操作区域之中。这种技术还需要结合“四手操作”,对医护人员的专业素养要求高。

随着新冠肺炎疫情趋缓,多地区明确开学时间。据广东省教育厅发布消息称,4月27日起中小学各年级将逐步分批安排返校。
返校在即,家长们除了担心孩子身体健康,口腔健康作为身体健康中重要的环节之一,更要引起重视。
开学前给孩子来一场全面的口腔检查,是每位家长应该要做的事。
为助力健康开学,德伦口腔为各位宝爸宝妈定制专属儿童口腔套餐,将儿童拍片、乳牙拔除、全口涂氟、儿牙清洁、儿童补牙等常见儿童齿科急需项目汇聚一卡,更赠送成人美国3M纳米树脂补牙,让家长和孩子共同拥有好牙齿,打好防疫开学准备战。

特色项目
牙齿问题在线咨询
020-8378 2905
专家推荐
网上自助挂号
患者
须知
贯彻国家卫生部新医改政策,严格落实解决挂号难、看病难问题,开展网络自助预约挂号服务。

口腔连锁品牌