一滴水折射光辉,一面锦旗满载敬意。一面面小小的锦旗,背后是浓浓的医患情,不仅将鼓励当事人更好地服务患者,也将激励更多的医护人员提高服务质量、改善服务态度、增强服务能力,以更加优质的服务造福更多患者。
旗赠仁医,点滴医患情
对于种牙的人开心的莫过于种完牙后吃啥都有口福,所以在完成治疗后,刘叔携三面锦旗赠与德伦口腔东风总院口腔种植科副主任罗朝阳团队,向罗主任团队表达浓浓的谢意。

据悉,现年50余岁的刘叔年少时没好好爱惜牙齿,导致牙齿相继脱落,口内仅剩几颗牙。如今用来咀嚼的几颗牙松动得很厉害,很多美味无法尽情享用,感觉生活丧失了很多乐趣。

刘叔口内仅剩几颗无保留意义的松动牙
刘叔觉得活动假牙使用起来很不方便,稍微硬些的东西都咬不了,平日清洁又麻烦,过几年就得更换新的假牙。于是刘叔在朋友的推荐下来到德伦口腔,想试试有好些朋友都在用的种植牙。
罗主任拔除掉刘叔无保留意义的松动牙后,为刘叔进行即拔即种、即刻负重手术。即拔即种、即刻负重的优势之一是能缩短治疗周期,减少手术和诊疗次数。
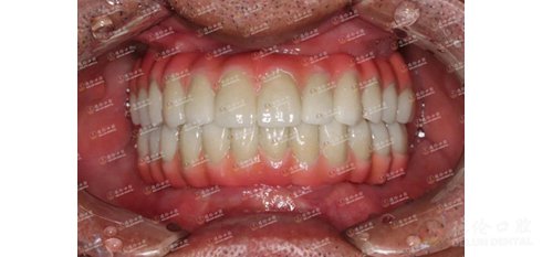
罗主任在刘叔上下颌各植入6颗种植体,术后当天取模,一周左右在植体上部搭配连桥冠恢复全口牙的生理功能。

罗主任为刘叔进行即拔即种、即刻负重手术,刘叔得以重获一口好牙
种牙治疗结束后,刘叔的好牙又回来了。现在的他生活过得有滋有味,闲时一盅两件叹早茶,日子过得好是安逸,这全赖于罗主任为他“种”下的一口好牙!为感谢罗主任,刘叔将三面锦旗赠与罗主任团队,向罗主任团队表达浓浓的谢意。

罗主任说:“这一面锦旗凝聚的是患者对我的满意与信任,对于我来说,更是一份责任与担当。”每一面锦旗是患者的一片心意,传递的不仅仅是患者对医生的感谢之情,更是对我院服务品质和医疗技术的认可。

罗朝阳 德伦口腔东风总院口腔种植科副主任
擅长项目:数字化3D种植、半口或全口无牙颌种植、即刻种植/即刻负重、复杂骨增量手术、复杂牙微创拔除、囊肿摘除等。
个人简介:罗朝阳,毕业于中山大学光华口腔医学院口腔医学专业,广东省人民医院口腔临床硕士。师从广东省口颌面外科领军人物陈仲伟教授,对人体口颌面关系有深刻的认知,并且积累了大量的口外种植经验。
期间,先后于多家知名三甲医院口腔科进修,并进行全面系统的理论学习和规范化临床培训,形成全面且专业的口腔诊疗技术。其尤为擅长从口颌面关系去定位种植体的合理分布,更是以微创口外手术的经验去引导种植手术。
十余年从业经历的背后是罗主任孜孜不倦的学习和技术开拓,罗主任因而收获了国内外口腔医疗领域的众多资质认证和认可。但即使荣誉加身,光环无数,罗主任也并没有停下专研创新的脚步。
他与时俱进参加各种口腔诊疗技术的培训,不断完善国内外前沿口腔技术理念与技能,罗主任说:“医学这门学科永无止境,并不是一成不变的,需要自己不断学习新知识,不断更新和丰富自己。”

好口碑 德伦造
金奖银奖不如患者夸奖,金杯银杯不如患者口碑。11年来,德伦口腔收到过很多患者的感谢信、锦旗。每一封信、每一面锦旗,不仅包含着患者对医护人员的肯定和鼓励,更包含着医护人员精湛技术和高尚医德!德伦口腔一定会继续努力,为更多新老顾客提供优质的口腔诊疗服务!

特色项目
牙齿问题在线咨询
020-8378 2905
专家推荐
网上自助挂号
患者
须知
贯彻国家卫生部新医改政策,严格落实解决挂号难、看病难问题,开展网络自助预约挂号服务。

口腔连锁品牌