主页 > 新闻 >

崔保亮:门牙缺失推荐前牙美学种植
2015-10-29 17:35来源:德伦口腔点击:
    门牙缺损怎么办呢?目前牙齿的美观越来越受到大家的重视,门牙也就是牙齿的门面,如果门牙缺损了就会导致牙齿的整体美观,且会对牙齿咀嚼功能造成破坏。如果没有及时治疗还会引起其他口腔疾病。那么,门牙缺失怎么补才好呢?下面来听听德伦口腔种植科专家崔保亮是怎么说的。
 
 
  记者提问:崔医生,你好!有些年轻人觉得自己还年轻缺一两颗牙没什么影响,这种观念是否正确?
 
  崔保亮医生:这种观念肯定是不正确的。其实,缺牙后未能及时处理会留下许多隐患。缺牙区旁边的牙齿会随时间慢慢偏移,倒向空缺的空间,空缺的上方或下方的牙会延伸生长,填补空缺,造成咬合不正,引起脸部歪斜、左右不对称。而且由于每颗牙齿的承受力有一定限度,当出现牙齿缺失后,咀嚼力集中在余留牙齿上,过度受力且受力方向不均衡,使余留牙齿造成创伤,引起塞牙、牙龈萎缩、牙槽骨吸收、牙齿松动等牙周疾病。如果缺牙位置在前牙区,更会影响美观,说话时容易喷口水,影响发音,造成社交困扰。
 


崔保亮医生工作时严谨认真、一丝不苟,获得了同事和患者的一致好评
 
  记者提问:年轻人缺牙的主要原因有哪些?那他们在意哪颗牙缺失?
 
  崔保亮医生:很多人习惯认为牙齿缺失是老年人才会出现的口腔问题,事实上不少年轻人也因为不良口腔习惯或意外事故导致牙齿缺失。根据我接触过的案例来说,年轻人在意的应该是门牙的缺失。
 
  记者提问:崔医生可以简单介绍下门牙在口腔中作用吗?还有缺失后会带来哪些影响呢?
 
  崔保亮医生:门牙的作用主要在切割食物,维持面型,抱持口内容物。而门牙缺失之后很明显的影响就是美观效果了,其次就是影响辅助发音,时间长了还会对人的造成心理影响。
 


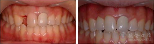
德伦口腔经典前牙美学种植案例
 
  记者提问:目前在修复门牙缺失的方式中哪种技术比较好?
 
  崔保亮医生:种植牙是目前理想的门牙缺失修复技术。
 
  记者提问:这项技术有什么特点和优势呢?
 
  崔保亮医生:种植牙可以获得与天然牙功能、结构以及美观效果十分相似的修复效果,而且种植牙的咀嚼功能大大优于其它假牙,是越来越多患者的选择修复方式。
 
  选择合适自己的修复方式颇为重要,合适病症的修复方式才能让效果得到好的保证。德伦口腔专家团队总是坚持理性的方式为患者定制个性化的修复方案,贴合患者的实际需求,使患者获得更好的美牙效果和舒心医疗感受!

特色项目

牙齿问题在线咨询 020-8378 2905

专家推荐

网上自助挂号

患者
须知

贯彻国家卫生部新医改政策,严格落实解决挂号难、看病难问题,开展网络自助预约挂号服务。

选择科室*

  • 种植科
  • 正畸科
  • 综合牙科
  • 儿童齿科

选择年龄*

  • 18岁以下
  • 18-30岁
  • 30-50岁
  • 50岁以上

口腔连锁品牌

专家预约热线:020-8378 2905
本网站信息仅供参考,不能作为诊疗及医疗依据
广州德伦口腔 粤ICP备11073526号