3月16日熊小琴主任受邀做客腾讯大粤直播间
——当天网友可发牙齿照片·熊小琴主任现场提供正畸诊疗解答

合适矫牙方式不只降低拔牙率还会让矫牙过程更舒适、矫牙时间更短、矫牙效果更满意
隐形矫正、自锁矫正、半隐形矫正、金属矫正哪种才是适合你?我们都知道龅牙、牙列拥挤、地包天等牙齿问题容易造成自卑、不敢开口笑、社交障碍、牙周组织健康受损,大家也都迫切希望通过牙齿矫正来改变现状以及找回自信笑容,但找到适合自己的矫治方式至关重要,如何选择适合自己的矫牙方式呢?
3月16日下午,德伦口腔正畸科主任、美国隐适美隐形矫正中国区讲师熊小琴医师做客腾讯大粤直播间,网友只需要发口腔照片、牙片或对症状描述,熊小琴医生将为你提供专业的正畸诊疗解答。
腾讯·大粤直播间直播时间: 2016年3月16日(周三)下午2点半——4点
如果您对您的牙齿问题还有许多困扰与疑惑,到腾讯新闻手机客户端,2016年3月16日(周三)下午2点半——4点熊小琴主任与您不见不散!
亚洲美学牙齿矫正专家——熊小琴主任
熊小琴,德伦口腔正畸科主任。毕业于广州医学院、从事口腔正畸及牙齿美容修复临床工作近二十多年。并多次参加中、美、韩等多国的学术研讨会,对隐形正畸及脸部四维美学正畸深有研究,综合运用多种矫正技术将传统的矫治疗程缩短30%—50%,用专业、细心、耐心的诊疗服务帮助众多深受牙齿不齐困扰的患者找回自信笑容。

德伦口腔正畸科主任熊小琴医生不仅是位经验丰富的临床医生,同时也是一位资深讲师,常常出席各种大型活动进行授课
熊小琴主任经典案例分享:

错颌畸形,虎牙高位案例矫正前后对比

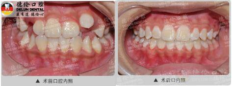
牙拥挤错位矫正前后对比

牙列稀疏矫治前后对比照片
注:以上照片案例由德伦口腔提供,为德伦口腔内部授权案例,请勿转载盗用
特色项目
牙齿问题在线咨询
020-8378 2905
专家推荐
网上自助挂号
患者
须知
贯彻国家卫生部新医改政策,严格落实解决挂号难、看病难问题,开展网络自助预约挂号服务。

口腔连锁品牌